Implanty zębowe w Lublinie to rozwiązanie, które cieszy się rosnącą popularnością wśród osób poszukujących skutecznych metod odbudowy uzębienia. Jedną z głównych zalet implantów jest ich trwałość. W przeciwieństwie do tradycyjnych protez, które mogą wymagać częstej wymiany, implanty są zaprojektowane tak, aby służyły przez wiele lat, a nawet przez całe życie pacjenta, jeśli są odpowiednio pielęgnowane. Kolejnym atutem jest ich naturalny wygląd i funkcjonalność. Implanty są osadzone w kości szczęki, co sprawia, że wyglądają i działają jak prawdziwe zęby. Dzięki temu pacjenci mogą cieszyć się pełnią życia, nie martwiąc się o dyskomfort związany z noszeniem protez. Dodatkowo, implanty pomagają w zachowaniu struktury kości szczęki, co jest istotne dla ogólnego zdrowia jamy ustnej.

Jak wygląda proces zakupu implantów zębowych w Lublinie

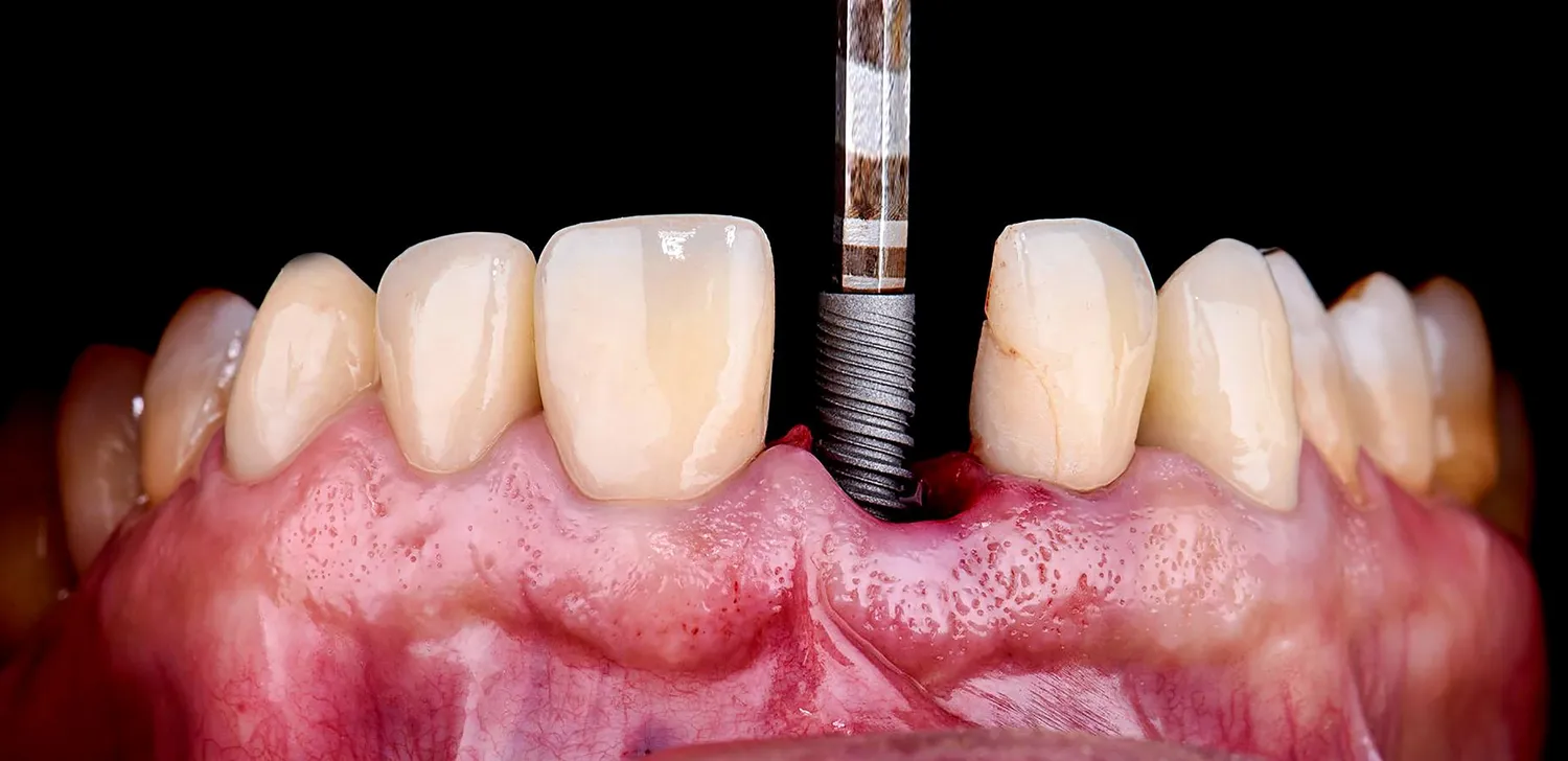
Proces zakupu implantów zębowych w Lublinie rozpoczyna się od konsultacji stomatologicznej, podczas której lekarz ocenia stan zdrowia jamy ustnej pacjenta oraz wykonuje niezbędne badania diagnostyczne. Na tym etapie ważne jest omówienie oczekiwań pacjenta oraz przedstawienie mu różnych opcji leczenia. Po dokładnym zaplanowaniu procesu leczenia następuje etap wszczepienia implantu. Zabieg ten zazwyczaj odbywa się w znieczuleniu miejscowym i polega na umieszczeniu tytanowego implantu w kości szczęki. Po zabiegu pacjent musi przestrzegać zaleceń lekarza dotyczących pielęgnacji oraz diety, aby zapewnić prawidłowe gojenie się tkanek. Po kilku miesiącach, gdy implant dobrze się zintegrował z kością, można przystąpić do wykonania korony protetycznej. Cały proces może trwać od kilku miesięcy do roku, w zależności od indywidualnych potrzeb pacjenta oraz stanu jego uzębienia.

Jakie są koszty implantów zębowych w Lublinie

Implanty zębowe Lublin
Implanty zębowe Lublin

Koszty implantów zębowych w Lublinie mogą się znacznie różnić w zależności od wielu czynników, takich jak doświadczenie lekarza, rodzaj użytych materiałów oraz dodatkowe procedury medyczne wymagane przed wszczepieniem implantu. Średnia cena jednego implantu w Lublinie wynosi zazwyczaj od kilku do kilkunastu tysięcy złotych. Warto jednak pamiętać, że cena ta często obejmuje nie tylko sam implant, ale także konsultacje, badania diagnostyczne oraz wykonanie korony protetycznej. Dodatkowo niektóre kliniki oferują możliwość rozłożenia płatności na raty lub korzystania z programów lojalnościowych dla stałych pacjentów. Warto również zwrócić uwagę na to, że niektóre ubezpieczenia zdrowotne mogą pokrywać część kosztów związanych z leczeniem implantologicznym.

Jak dbać o implanty zębowe po ich wszczepieniu

Prawidłowa pielęgnacja implantów zębowych po ich wszczepieniu jest kluczowa dla zapewnienia ich długotrwałego funkcjonowania oraz zdrowia jamy ustnej. Po zakończeniu procesu gojenia ważne jest regularne mycie zębów oraz stosowanie nici dentystycznej wokół implantu. Utrzymanie higieny jamy ustnej pomoże zapobiec powstawaniu stanów zapalnych oraz infekcji wokół implantu. Pacjenci powinni również unikać twardych pokarmów oraz nadmiernego obciążania implantu, szczególnie w pierwszych tygodniach po zabiegu. Regularne wizyty kontrolne u stomatologa są równie istotne; lekarz będzie mógł monitorować stan implantu oraz ocenić ewentualną potrzebę dodatkowych zabiegów pielęgnacyjnych. Warto także stosować płyny do płukania jamy ustnej zawierające składniki antybakteryjne, które pomogą utrzymać świeżość oddechu i zdrowie dziąseł.

Jakie są najczęstsze pytania dotyczące implantów zębowych w Lublinie

Wielu pacjentów ma pytania dotyczące implantów zębowych, szczególnie gdy rozważają ich wszczepienie. Jednym z najczęściej zadawanych pytań jest to, czy zabieg jest bolesny. Warto zaznaczyć, że większość pacjentów nie odczuwa bólu podczas zabiegu dzięki zastosowaniu znieczulenia miejscowego. Po zabiegu mogą wystąpić pewne dolegliwości, które można złagodzić za pomocą leków przeciwbólowych. Innym istotnym pytaniem jest czas gojenia się implantu. Zazwyczaj trwa to od kilku tygodni do kilku miesięcy, w zależności od indywidualnych warunków pacjenta oraz rodzaju zastosowanego implantu. Pacjenci często pytają także o trwałość implantów. Przy odpowiedniej pielęgnacji i regularnych wizytach kontrolnych, implanty mogą służyć przez wiele lat, a nawet przez całe życie. Kolejnym ważnym zagadnieniem jest koszt zabiegu; warto porównać oferty różnych klinik oraz zapytać o możliwość rozłożenia płatności na raty. Wiele osób interesuje się również tym, czy istnieją przeciwwskazania do wszczepienia implantów.

Jakie są różnice między implantami a tradycyjnymi protezami w Lublinie

Implanty zębowe i tradycyjne protezy to dwa różne podejścia do odbudowy uzębienia, które mają swoje zalety i wady. Implanty są wszczepiane bezpośrednio w kość szczęki, co pozwala na uzyskanie stabilności i naturalnego wyglądu. Dzięki temu pacjenci mogą cieszyć się pełną funkcjonalnością, tak jak przy naturalnych zębach. Z kolei tradycyjne protezy są ruchome i wymagają regularnego dopasowywania, co może być niewygodne dla niektórych pacjentów. Ponadto protezy mogą powodować podrażnienia dziąseł oraz dyskomfort podczas jedzenia czy mówienia. W przypadku implantów ryzyko takich problemów jest znacznie mniejsze, ponieważ są one trwale osadzone w kości. Warto również zauważyć, że implanty pomagają w zachowaniu struktury kości szczęki, co jest istotne dla zdrowia jamy ustnej w dłuższej perspektywie czasowej.

Jakie są najnowsze technologie w dziedzinie implantologii w Lublinie

W dziedzinie implantologii następuje ciągły rozwój technologii, co przekłada się na coraz lepsze wyniki leczenia oraz większy komfort pacjentów. W Lublinie wiele klinik stomatologicznych inwestuje w nowoczesne rozwiązania technologiczne, takie jak cyfrowe skanowanie 3D oraz symulacje komputerowe, które pozwalają na precyzyjne zaplanowanie zabiegu wszczepienia implantu. Dzięki tym technologiom lekarze mogą dokładnie ocenić stan kości oraz zaplanować optymalne umiejscowienie implantu. Kolejnym innowacyjnym rozwiązaniem jest zastosowanie materiałów biokompatybilnych, które zmniejszają ryzyko odrzutu implantu przez organizm oraz przyspieszają proces gojenia się tkanek. Warto również wspomnieć o technice „all-on-4”, która umożliwia zamocowanie całej protezy na czterech implantach, co znacznie skraca czas leczenia oraz minimalizuje liczbę zabiegów chirurgicznych.

Jak znaleźć odpowiednią klinikę stomatologiczną oferującą implanty w Lublinie

Wybór odpowiedniej kliniki stomatologicznej do przeprowadzenia zabiegu wszczepienia implantów zębowych to kluczowy krok dla każdego pacjenta. Ważne jest, aby zwrócić uwagę na doświadczenie lekarza prowadzącego oraz jego kwalifikacje w dziedzinie implantologii. Dobrym pomysłem jest poszukiwanie klinik posiadających certyfikaty i akredytacje potwierdzające ich profesjonalizm oraz stosowanie nowoczesnych technologii. Rekomendacje znajomych lub rodziny mogą być również pomocne; warto zapytać osoby, które już korzystały z usług danej kliniki o ich opinie na temat jakości leczenia oraz obsługi pacjenta. Kolejnym istotnym aspektem jest dostępność konsultacji przed zabiegiem; dobra klinika powinna oferować możliwość omówienia wszystkich wątpliwości oraz przedstawienia planu leczenia dostosowanego do indywidualnych potrzeb pacjenta. Nie bez znaczenia są także warunki finansowe; warto porównywać ceny oraz sprawdzić dostępność programów ratalnych lub promocji dla nowych pacjentów.

Jak wygląda rehabilitacja po wszczepieniu implantów zębowych w Lublinie

Rehabilitacja po wszczepieniu implantów zębowych to kluczowy etap procesu leczenia, który ma na celu zapewnienie prawidłowego gojenia się tkanek oraz integracji implantu z kością szczęki. Po zabiegu pacjent otrzymuje szczegółowe zalecenia dotyczące diety oraz higieny jamy ustnej; przez pierwsze dni zaleca się unikanie twardych pokarmów oraz stosowanie miękkiej diety, aby nie obciążać świeżo wszczepionego implantu. Ważne jest także przestrzeganie zasad higieny; mycie zębów powinno być delikatne, aby nie podrażnić okolic implantu. Regularne wizyty kontrolne u stomatologa są niezbędne do monitorowania stanu gojenia się tkanek oraz oceny integracji implantu z kością. W przypadku wystąpienia jakichkolwiek niepokojących objawów, takich jak ból czy obrzęk, należy niezwłocznie skontaktować się z lekarzem prowadzącym.

Jakie są opinie pacjentów o implantach zębowych w Lublinie

Opinie pacjentów dotyczące implantów zębowych w Lublinie są zazwyczaj bardzo pozytywne; wiele osób podkreśla znaczną poprawę jakości życia po przeprowadzeniu zabiegów implantologicznych. Pacjenci często zwracają uwagę na komfort użytkowania implantów w porównaniu do tradycyjnych protez; brak ruchomości implantu sprawia, że jedzenie i mówienie stają się znacznie łatwiejsze i bardziej naturalne. Dodatkowo wiele osób docenia estetykę implantu – wygląda on jak naturalny ząb i pozwala uniknąć kompleksów związanych z brakującymi zębami. Często pojawia się również pozytywna opinia na temat samego procesu leczenia; pacjenci chwalą profesjonalizm lekarzy oraz personelu medycznego w lublinieckich klinikach stomatologicznych, a także ich podejście do pacjenta i gotowość do udzielania informacji na każdym etapie leczenia.