Implanty zębowe to temat, który budzi wiele pytań wśród osób rozważających ich zastosowanie. Wiele osób zastanawia się, jak wygląda proces wszczepienia implantu oraz jakie są jego etapy. Zwykle zaczyna się od wizyty u stomatologa, który ocenia stan uzębienia pacjenta i wykonuje zdjęcia rentgenowskie. Na podstawie tych informacji lekarz podejmuje decyzję o możliwości wszczepienia implantu. Kolejnym krokiem jest przygotowanie do zabiegu, które może obejmować leczenie zębów lub usunięcie zębów, które nie nadają się do dalszego użytkowania. Pacjenci często pytają także o czas gojenia po zabiegu, który może wynosić od kilku tygodni do kilku miesięcy, w zależności od indywidualnych warunków anatomicznych i zdrowotnych pacjenta.
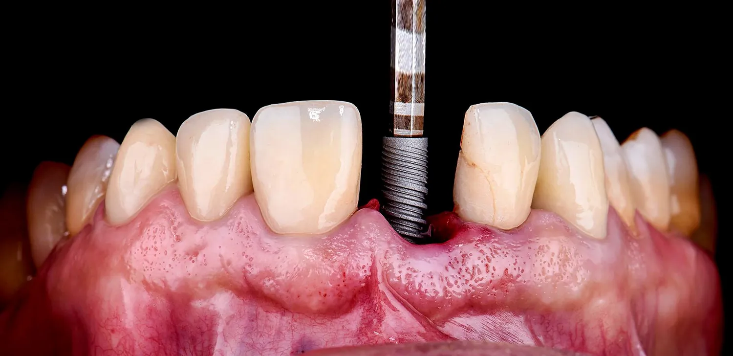
Czy implanty zębowe są bolesne i jak przebiega zabieg
Wielu pacjentów obawia się bólu związanego z wszczepieniem implantów zębowych. Warto jednak zaznaczyć, że współczesna stomatologia dysponuje nowoczesnymi metodami znieczulenia, które znacznie redukują odczucia bólowe podczas zabiegu. Sam proces wszczepienia implantu trwa zazwyczaj od jednej do dwóch godzin, a pacjent jest pod stałą opieką specjalisty. Po zakończeniu zabiegu lekarz przekaże zalecenia dotyczące pielęgnacji miejsca wszczepienia oraz ewentualnych środków przeciwbólowych, które można stosować w przypadku dyskomfortu. Pacjenci często pytają o czas rekonwalescencji oraz to, kiedy będą mogli wrócić do normalnego życia. W większości przypadków już po kilku dniach można wrócić do codziennych aktywności, jednak pełne gojenie może potrwać dłużej.
Jak długo utrzymują się implanty zębowe i co wpływa na ich trwałość

Jednym z kluczowych pytań dotyczących implantów zębowych jest ich trwałość oraz to, jak długo mogą służyć pacjentowi. Implanty wykonane są z materiałów biokompatybilnych, takich jak tytan, co sprawia, że są niezwykle odporne na korozję i dobrze tolerowane przez organizm ludzki. Przy odpowiedniej pielęgnacji oraz regularnych wizytach kontrolnych implanty mogą utrzymywać się przez wiele lat, a nawet całe życie. Istotnym czynnikiem wpływającym na trwałość implantów jest higiena jamy ustnej oraz styl życia pacjenta. Osoby palące czy cierpiące na choroby przyzębia powinny szczególnie dbać o swoje uzębienie, ponieważ te czynniki mogą negatywnie wpłynąć na stabilność implantu. Ponadto ważne jest przestrzeganie zaleceń lekarza dotyczących diety oraz unikanie twardych pokarmów w początkowym okresie po zabiegu.
Czy każdy może mieć wszczepione implanty zębowe i jakie są przeciwwskazania
Decyzja o wszczepieniu implantów zębowych nie zawsze jest prosta i nie każdy pacjent kwalifikuje się do tego typu leczenia. Przeciwwskazania mogą być różnorodne i obejmują zarówno stan zdrowia ogólnego pacjenta, jak i specyfikę jego jamy ustnej. Osoby cierpiące na choroby przewlekłe takie jak cukrzyca czy choroby serca powinny skonsultować się ze swoim lekarzem przed podjęciem decyzji o wszczepieniu implantu. Również osoby przyjmujące leki immunosupresyjne mogą mieć ograniczone możliwości związane z tym zabiegiem. Ważnym aspektem jest także stan kości szczęki; jeśli kość jest niewystarczająca do osadzenia implantu, konieczne może być przeprowadzenie dodatkowych zabiegów regeneracyjnych przed właściwym wszczepieniem implantu.
Jakie są zalety implantów zębowych w porównaniu do innych metod
Implanty zębowe to jedna z najnowocześniejszych metod uzupełniania braków w uzębieniu, a ich popularność wynika z wielu zalet, które oferują w porównaniu do tradycyjnych rozwiązań, takich jak mosty czy protezy. Jedną z kluczowych korzyści jest ich trwałość; implanty są zaprojektowane tak, aby służyły przez wiele lat, a ich biokompatybilność sprawia, że organizm nie odrzuca ich. W przeciwieństwie do mostów, które wymagają szlifowania zdrowych zębów sąsiednich, implanty nie wpływają na otaczające zęby, co pozwala zachować ich integralność. Ponadto implanty zapewniają stabilność i komfort, pozwalając na normalne jedzenie i mówienie bez obaw o ich przesuwanie się. Dodatkowo, implanty stymulują kość szczęki, co zapobiega jej zanikanie, co jest częstym problemem po utracie zęba. Dzięki temu pacjenci mogą cieszyć się naturalnym wyglądem i funkcją uzębienia.
Czy implanty zębowe są odpowiednie dla osób starszych i jakie mają ograniczenia
Osoby starsze często zastanawiają się nad możliwością wszczepienia implantów zębowych i czy są one odpowiednie dla ich wieku oraz stanu zdrowia. W rzeczywistości wiek sam w sobie nie jest przeciwwskazaniem do wykonania zabiegu; kluczowe znaczenie ma ogólny stan zdrowia pacjenta oraz obecność chorób przewlekłych. Wiele osób starszych korzysta z implantów jako skutecznego sposobu na poprawę jakości życia oraz komfortu codziennego funkcjonowania. Ważne jest jednak, aby przed podjęciem decyzji przeprowadzić dokładną ocenę stanu zdrowia oraz wykonać niezbędne badania diagnostyczne. Osoby starsze mogą mieć osłabioną kość szczęki lub inne problemy zdrowotne, które mogą wpłynąć na proces gojenia i trwałość implantu. Dlatego lekarz może zalecić dodatkowe zabiegi regeneracyjne lub dostosować plan leczenia do indywidualnych potrzeb pacjenta.
Jakie są koszty związane z wszczepieniem implantów zębowych
Koszt wszczepienia implantów zębowych to jedno z najczęściej zadawanych pytań przez pacjentów rozważających tę formę leczenia. Ceny mogą się znacznie różnić w zależności od wielu czynników, takich jak lokalizacja gabinetu stomatologicznego, doświadczenie lekarza czy zastosowane materiały. Średni koszt jednego implantu w Polsce może wynosić od kilku tysięcy złotych do nawet kilkunastu tysięcy złotych za pełny proces leczenia. Warto jednak zwrócić uwagę na to, że cena nie zawsze powinna być głównym kryterium wyboru; istotna jest jakość materiałów oraz doświadczenie specjalisty. Dodatkowo pacjenci powinni być świadomi ewentualnych dodatkowych kosztów związanych z przygotowaniem do zabiegu, takich jak zdjęcia rentgenowskie czy zabiegi regeneracyjne kości. Wiele klinik oferuje także możliwość rozłożenia płatności na raty lub finansowania zabiegów przez różne instytucje kredytowe.
Jak dbać o implanty zębowe po ich wszczepieniu
Prawidłowa pielęgnacja implantów zębowych jest kluczowa dla ich długowieczności i sukcesu całego leczenia. Po wszczepieniu implantu pacjenci powinni szczególnie zwrócić uwagę na higienę jamy ustnej. Zaleca się regularne szczotkowanie zębów co najmniej dwa razy dziennie oraz stosowanie nici dentystycznej do czyszczenia przestrzeni międzyzębowych. Warto również korzystać ze specjalnych szczoteczek międzyzębowych lub irygatorów dentystycznych, które pomogą usunąć resztki pokarmowe oraz płytkę bakteryjną w trudno dostępnych miejscach wokół implantu. Regularne wizyty kontrolne u stomatologa są równie ważne; lekarz będzie mógł monitorować stan implantu oraz ocenić ewentualne problemy na wczesnym etapie. Pacjenci powinni także unikać twardych pokarmów oraz nadmiernego obciążania implantu w początkowym okresie gojenia. Dbanie o zdrową dietę bogatą w witaminy i minerały wspiera proces gojenia i regeneracji kości wokół implantu.
Jakie są najnowsze technologie stosowane w implantologii dentystycznej
Implantologia dentystyczna rozwija się w szybkim tempie dzięki nowoczesnym technologiom i innowacjom medycznym. Jednym z najnowszych osiągnięć jest zastosowanie technologii cyfrowej w planowaniu zabiegów wszczepienia implantów. Dzięki skanowaniu 3D możliwe jest precyzyjne odwzorowanie anatomicznych warunków jamy ustnej pacjenta, co pozwala na dokładniejsze zaplanowanie lokalizacji implantu oraz minimalizację ryzyka powikłań podczas zabiegu. Kolejnym innowacyjnym rozwiązaniem są implanty o zwiększonej biokompatybilności, które lepiej integrują się z tkankami kostnymi pacjenta, co przyspiesza proces gojenia i zwiększa trwałość implantu. Również techniki regeneracji kości stały się bardziej zaawansowane; zastosowanie materiałów bioaktywnych wspomaga odbudowę kości wokół implantu i poprawia jego stabilność. Ponadto rozwój technologii laserowej umożliwia przeprowadzanie mniej inwazyjnych zabiegów chirurgicznych, co przekłada się na szybszy czas rekonwalescencji i mniejsze ryzyko powikłań pooperacyjnych.
Czy istnieją alternatywy dla implantów zębowych i jakie mają zalety
Choć implanty zębowe są jedną z najskuteczniejszych metod uzupełniania braków w uzębieniu, istnieją także inne opcje leczenia, które mogą być odpowiednie dla różnych pacjentów w zależności od ich potrzeb i stanu zdrowia. Alternatywami dla implantów są mosty protetyczne oraz protezy ruchome lub stałe. Mosty protetyczne polegają na osadzeniu sztucznego zęba na dwóch filarach utworzonych przez zdrowe zęby sąsiednie; ta metoda jest mniej inwazyjna niż wszczepienie implantu i może być szybsza do wykonania. Protezy natomiast to rozwiązanie bardziej ekonomiczne; mogą być stosowane zarówno jako protezy całkowite, jak i częściowe w przypadku utraty kilku zębów. Choć protezy nie oferują takiej samej stabilności jak implanty, nowoczesne technologie pozwalają na ich lepsze dopasowanie do jamy ustnej pacjenta oraz zwiększenie komfortu noszenia.
Jakie są najczęstsze mity dotyczące implantów zębowych
Wokół implantów zębowych narosło wiele mitów, które mogą wprowadzać pacjentów w błąd i zniechęcać do podjęcia decyzji o ich wszczepieniu. Jednym z najczęściej powtarzanych mitów jest przekonanie, że implanty są bardzo bolesne i wiążą się z intensywnym bólem po zabiegu. W rzeczywistości nowoczesne metody znieczulenia sprawiają, że zabieg jest komfortowy, a ból pooperacyjny można łatwo kontrolować za pomocą leków przeciwbólowych. Innym powszechnym mitem jest to, że implanty są widoczne i wyglądają sztucznie; jednak dzięki postępom w technologii stomatologicznej implanty są projektowane tak, aby idealnie imitować naturalne zęby. Kolejnym nieporozumieniem jest przekonanie, że implanty wymagają skomplikowanej pielęgnacji; w rzeczywistości wystarczy dbać o higienę jamy ustnej jak przy naturalnych zębach.


